Smile Gallery
Lombard Dental Studio is a full-service dental practice located in Thousand Oaks. Under the expert care of Dr. Vadim Lebovich, the practice offers a wide variety of dental services


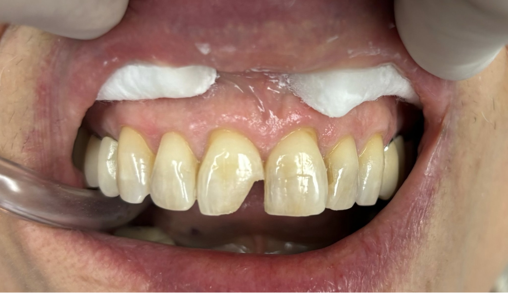
Before & After Bonding
Emergency temporary restoration of the broken bridge with composite bonding


Before & After Veneers
Front teeth veneers to replace old worn and leaking bonding


Before & After Dentures
Full dentures using implant retention


Before & After ORTHODONTICS
Full mouth orthodontic rehabilitation using traditional and/or aligners (Invisalign)


BEFORE & AFTER ORTHODONTICS
Full mouth orthodontic rehabilitation using traditional and/or aligners (Invisalign)


BEFORE & AFTER Whitening
Laser, conventional, and other methods available


BEFORE & AFTER Crowns
We make full-mouth crown restoration comfortable and pain-free.


BEFORE & AFTER CROWNS
We craft full-mouth crowns for lasting strength and beauty.


BEFORE & AFTER CROWNS
A fully restored smile, designed for comfort, built to last.


BEFORE & AFTER Implants
See the difference dental implants can make—function, beauty, and lasting comfort.


BEFORE & AFTER Dentures
See the difference modern dentures can make—fit, confidence, and lasting comfort.


BEFORE & AFTER Crowns
We craft crowns that restore lasting strength and natural beauty.


BEFORE & AFTER Orthodontics
See how orthodontic care straightens teeth for a healthier, more confident smile.


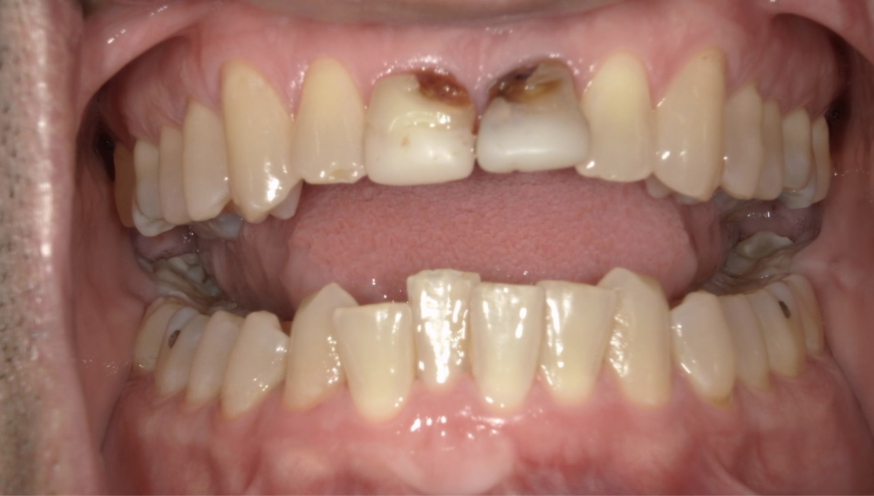
BEFORE & AFTER Fillings
Natural-looking fillings repair decay while keeping your smile seamless.

